viernes, 1 de abril de 2022

Leucemia mielomonocítica crónica

Autora : Ainoa Carnicero Ruiz
4º Curso de Medicina Grupo C (Curso 2021-2022)
Código de trabajo : 2111-ACR


INTRODUCCIÓN 


La leucemia mielomonocítica crónica (LMMC) es un trastorno clonal de células hematopoyéticas con expresión morfológica y clínica heterogénea que comparte características de los síndromes mielodisplásicos (SMD) y de las neoplasias mieloproliferativas (NMP). Parece predominar en los varones y se diagnostica entre los 65 y 75 años (1). Aunque se desconoce la incidencia exacta, se estima que es de aproximadamente 1 caso por cada 100.000 habitantes/año (2). 

El diagnóstico se basa en criterios citomorfológicos, el estudio de los monocitos en sangre periférica por citometría de flujo y el hallazgo de clonalidad por presencia de alteraciones citogenéticas y/o moleculares. La mayoría de los pacientes tienen un cariotipo normal, pero se detectan alteraciones moleculares que van a influir en el pronóstico (1). 

Sin embargo, la LMMC no tiene un hallazgo patognomónico que sea crucial para el diagnóstico; se diagnostica excluyendo otras enfermedades acompañadas de monocitosis y otros tipos de enfermedades SMD/NMP. La LMMC se compone de varios subgrupos heterogéneos, representados por los tipos displásico y proliferativo, y estos diversos fenotipos van a influir en el tratamiento y el pronóstico de la enfermedad (2). 

Las opciones terapéuticas en la LMMC son escasas y, frecuentemente, ésta queda excluida de los ensayos clínicos desarrollados para los SMD, especialmente el subtipo mieloproliferativo (LMMC-MP). El trasplante de progenitores hematopoyéticos (TPH) alogénico es la única opción curativa, difícilmente aplicable debido a que la mayoría de los pacientes tienen una edad avanzada; por tanto, o no reciben tratamiento, o reciben tratamiento de soporte, hidroxiurea o agentes hipometilantes. La supervivencia es variable: algunos pacientes tienen un curso indolente, y hasta un 20%-40% de los casos pueden progresar a leucemia mieloide aguda (LMA) a los 5 años (1).  


CLÍNICA 


La LMMC puede presentarse como una enfermedad asintomática o como una enfermedad con clínica florida que necesita tratamiento. La clínica suele ser consecuencia de las citopenias en la variante mielodisplásica, y de la leucocitosis y afectación extramedular (adenopatías, lesiones cutáneas, esplenomegalia…) en la variante mieloproliferativa, si bien ésta también puede presentar anemia y/o trombocitopenia (1). 

Se ha asociado con neoplasias linfoides diferenciadas y con una gran variedad de enfermedades autoinmunes como vasculitis, artritis reumatoide y psoriasis entre otras (1).

 

DIAGNÓSTICO 


La evaluación morfológica de la sangre periférica y la médula ósea es la base del diagnóstico de LMMC. En la LMMC se producen cambios displásicos en las células de linaje mieloide en la médula ósea, acompañados de un aumento de monocitos en SP (2). 

En un principio fue considerada por la clasificación French-American-British (FAB) como un síndrome mielodisplásico. En 1994, el grupo FAB distinguió dos subtipos de LMMC en función del número de leucocitos en SP: mielodisplásico (LMMC-MD) y mieloproliferativo (LMMC-MP). 

Los criterios diagnósticos para la LMMC según la clasificación de la OMS de 2016 se muestran en la tabla 1. La LMMC se clasifica además en 3 subtipos según el porcentaje de blastos en sangre periférica y médula ósea. 

Además, como acabamos de indicar, también distingue entre LMMC-MD y LMMC-MP de acuerdo con el número de leucocitos en SP. La clasificación de la OMS de 2016 sigue considerando justificado distinguir estos dos tipos de LMMC, como se muestra en la tabla 2 (1). Estos 2 subtipos difieren en manifestaciones clínicas y patrones de complicaciones (2) : 

  • El LMMC-MP se asocia con síntomas constitucionales y más a menudo se presenta con organomegalia. Además, se caracteriza por la presencia de alteraciones de las vías de señalización RAS/MAPK, especialmente NRAS.(1) 
  • El LMMC-MD tiene síntomas más graves debido a las citopenias, incluyendo anemia y trombocitopenia. 




ESTUDIO CITOMORFOLÓGICO 


No existe un único hallazgo patognomónico del diagnóstico de la LMMC. Las biopsias de médula ósea a menudo son hipercelulares con displasia leve-moderada, como se muestra en las ilustraciones siguientes (3) :  



Ilustración 1. Biopsia de médula ósea que demuestra una médula hipercelular con megacariocitos displásicos (flecha negra) (3). 


Ilustración 2. Aspirado de médula ósea que muestra displasia granulocítica mínima (3). 


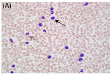
Los promonocitos se describen como precursores monocíticos que tienen un núcleo de gran tamaño, cromatina fina, un pequeño núcleo indistinto o ausente y citoplasma finamente granulado, como se muestra en las imágenes siguientes (3). 



Ilustración 3. Frotis de SP de un paciente con LMMC que demuestra promonocitos (flecha negra) junto con granulocitos displásicos (flecha gris) (3). 



Ilustración 4. A) Frotis de SP de un paciente con LMMC que muestra monocitos maduros con segmentación nuclear, cromatina condensada y citoplasma pálido. B) Frotis de SP de un paciente con LMMC que muestra promonocitos con segmentación nuclear, pliegues nucleares y cromatina laxa. C) AMO con blastos sin segmentación nuclear y cromatina muy laxa con nucleolos ocasionales (3). 



Ilustración 5. Frotis de SP de un paciente con LMMC con transformación blástica (LMA secundaria), con promonocitos (flecha negra) y mieloblastos (flecha roja) (3). 

Algunos de los rasgos displásicos que pueden observarse son: 



Ilustración 6. F) y G) Frotis de SP de un paciente con LMMC con neutrófilos hiposegmentados displásicos (flecha negra) con cuerpos de Döhle (inclusión citoplasmática periférica de color azul claro). H) Frotis de SP de un paciente con LMMC con neutrófilos displásicos con citoplasma marcadamente hipogranular (flecha negra) con cuerpos de Döhle (3). 



CITOMETRÍA DE FLUJO 


Con el aumento de monocitos en sangre periférica debe hacerse un diagnóstico diferencial con la monocitosis reactiva, los procesos inflamatorios o las NMP. Los monocitos se clasifican en tres subtipos según los patrones de expresión de los marcadores de superficie CD16 y CD14 (2). 

  • Los monocitos clásicos son fuertemente positivos para CD14 y negativos para CD16 (CD14+/CD16-) y representan la mayoría de los monocitos en la sangre de humanos sanos. 
  • Los monocitos intermedios son positivos tanto para CD14 como para CD16 (CD14+/CD16+). 
  • Los monocitos no clásicos son débilmente positivos para CD14 y positivos para CD16 (CD14low/CD16+). 

Se sabe que la proporción de monocitos clásicos aumenta en pacientes con LMMC (2), y la normalización de la distribución de los monocitos durante el tratamiento puede indicar la eficacia del tratamiento (1). 

Sin embargo, existen algunas limitaciones para la aplicación práctica de este enfoque en la práctica clínica: los falsos negativos pueden aparecer en presencia de procesos inflamatorios acompañantes, incluidas las enfermedades autoinmunes, y los resultados falsos positivos pueden surgir de otras neoplasias mieloides como la LMC atípica (2). 


CITOGENÉTICA 


Se observan anomalías cromosómicas en aproximadamente el 25-40% de los pacientes con LMMC. Las más comunes son la trisomía 8 (+8), la pérdida del cromosoma Y (-Y) y la monosomía 7 (2). 

Investigadores españoles presentaron una clasificación de riesgo citogenético específica de LMMC. En ésta, los pacientes con un cariotipo normal y pérdida del cromosoma Y comprenden el grupo de bajo riesgo, mientras que aquellos con anomalías cromosómicas en el cromosoma 7 y 8 y cariotipos complejos se consideran el grupo de alto riesgo, siendo de riesgo intermedio el resto de anomalías (2). El 20-30% de los pacientes con LMMC adquieren anomalías citogenéticas durante la evolución y ello se asocia a transformación hacia LMA (1). 


MUTACIONES GENÉTICAS


Los subgrupos de genes mutantes que están estrechamente relacionados con LMMC codifican reguladores epigenéticos, incluidos los involucrados en la metilación del ADN (TET2, DNMT3A), el empalme de ARN (SRSF2, SF3B1, U2AF1, ZRSR2) y la modificación de histonas (ASXL1, EZH2); genes relacionados con la vía de señalización celular (NRAS, FLT3, CBL, JAK2); y un regulador transcripcional (RUNX1). Algunas de estas mutaciones genéticas también se observan comúnmente en la hematopoyesis clonal relacionada con la edad, lo que sugiere que el proceso de envejecimiento del sistema hematopoyético contribuye parcialmente a la fisiopatología de la LMMC (2). 

La frecuencia de estas mutaciones se muestra en la ilustración 7. Varios estudios han informado que SRSF2, TET2 y ASXL1 se encuentran con mayor frecuencia.(2–4) La suma de la aparición de la monocitosis y estas características moleculares son importantes para distinguir la monocitosis reactiva de las enfermedades clonales como la LMMC (2). 


Ilustración 7. Frecuencia de mutaciones genéticas en LMMC.(2) 


DIAGNOSTICO DIFERENCIAL 


Para el diagnóstico de la LMMC se deben descartar infecciones crónicas (tuberculosis, brucelosis, endocarditis) y enfermedades autoinmunes (artritis reumatoide, lupus eritematosos sistémico). La asplenia o una extirpación previa del bazo puede originar monocitosis persistente. También puede aparecer monocitosis en parasitosis con abundantes fenómenos de macrofagia, como el paludismo o la leishmaniasis (1). 

No es infrecuente su presencia en otras neoplasias hematológicas como el linfoma de Hodgkin, gammapatías monoclonales y leucemias agudas y crónicas con componente monocítico (1).

 

ESTADIFICACIÓN DEL RIESGO 


La estadificación del riesgo en la LMMC ha adquirido interés en los últimos años, lo que ha llevado a la proposición y validación de múltiples modelos pronósticos, como se muestra en la ilustración 8 (5). 

El modelo pronóstico específico de la LMMC (CPSS) se basó en los subtipos de LMMC definidos por la OMS y la FAB, la clasificación del riesgo citogenético específico de la LMMC y la dependencia de transfusión de glóbulos rojos (RBC). Para refinar todavía más la estratificación pronóstica, en 2016 también se incorporó el estudio de mutaciones: ASXL1, RUNX1, NRAS, SETBP1, formando así el CPSS-Mol (5). 

El modelo de Mayo Clinic tiene en cuenta la presencia de células mieloides inmaduras circulantes, el aumento del recuento absoluto de monocitos (AMC), la hemoglobina y las plaquetas. Más tarde se añadió la mutación en ASXL1 para formar el Modelo Molecular de Mayo (MMM) (5). 

El Groupe Français des Myélodysplasies (GFM) tiene en cuenta la edad, la hemoglobina (diferentes niveles en función del sexo), las plaquetas, los leucocitos y la mutación de ASXL1 (5). 



Ilustración 8. Comparación del sistema de puntuación de estratificación pronóstica de la LMMC. Se comparan cinco sistemas de estratificación pronóstica a través de factores de riesgo individuales reconocidos por cada uno (5). 



TRATAMIENTO 


El tratamiento de la LMMC debe ser individualizado, ya que la mayoría de los pacientes no son candidatos a TPH alogénico y las terapias actualmente disponibles deben estar orientadas principalmente a abordar los síntomas y mejorar la calidad de vida. No obstante, se están desarrollando nuevas terapias que también pueden dirigirse al clon de la LMMC para producir una mejora significativa en la progresión de la enfermedad y la supervivencia (5). 

Los pacientes asintomáticos pueden requerir seguimiento hasta que se encuentre evidencia de progresión de la enfermedad o hasta que se desarrollen síntomas clínicamente significativos. Sin embargo, en los pacientes de alto riesgo, el curso de la enfermedad debe modificarse para prevenir la evolución de la enfermedad o la muerte. Se recomienda un tratamiento definitivo dirigido a la curación, con TPH alogénico para pacientes jóvenes y sanos con un alto riesgo o síntomas clínicos graves. Independientemente de si se programa un trasplante, los agentes hipometilantes suelen ser el tratamiento de elección (2). 


Agentes hipometilantes 

Los agentes hipometilantes (HMA) como la azacitidina y la decitabina inducen la hipometilación mediante la inhibición de la ADN metiltransferasa. En la actualidad, la aplicación del tratamiento con agentes hipometilantes a los pacientes con LMMC debe individualizarse teniendo en cuenta varios factores: gravedad de los síntomas clínicos, el riesgo de acuerdo con el sistema de puntuación y la aptitud médica del paciente (2). 

TPH alogénico 

Es la única opción curativa para los pacientes con LMMC, aunque todavía existen problemas como la alta mortalidad relacionada con el tratamiento (enfermedad injerto contra receptor, recidiva de la enfermedad…) (3) y la dificultad de la identificación de donantes adecuados. Aunque no se ha establecido un tratamiento estándar previo al trasplante, se debe seleccionar un tratamiento diseñado para maximizar la respuesta y minimizar la toxicidad. En este proceso, es necesario considerar las características de la enfermedad, así como los factores relacionados con el estado general de salud y la comorbilidad del paciente (por ejemplo, la edad y el estado funcional). Estas consideraciones contribuyen a la individualización del tratamiento (2). 

Terapia citorreductora 

La terapia citorreductora para el tratamiento de la leucocitosis y la organomegalia asociada con la LMMC, así como varios síntomas constitucionales se ha considerado un componente importante del tratamiento. Para la terapia citorreductora, se seleccionan principalmente agentes citotóxicos a dosis bajas, incluyendo citarabina, etopósido e hidroxiurea. Entre ellos, la hidroxiurea es el fármaco más utilizado, ya que además del beneficio clínico, es un fármaco oral que garantiza la facilidad de uso. Por lo tanto, se recomienda preferentemente como tratamiento sintomático para pacientes que no están recibiendo tratamiento intensivo y como terapia puente antes de los hipometilantes (2). 

Para mejorar la anemia, evitar transfusiones y con ello la sobrecarga de hierro, puede utilizarse un agente estimulante de la eritropoyetina (AEE). Por tanto, se recomienda su uso para la anemia sintomática entre los pacientes que no están recibiendo un tratamiento definitivo (hipometilantes, TPH). La transfusión de glóbulos rojos es la única opción para la anemia que es refractaria al agente estimulante de la eritropoyetina u otros tratamientos (2). 

Nuevos agentes terapéuticos 

Actualmente, los nuevos fármacos son los inhibidores de JAK2 (ruxolitinib y pacritinib), los inhibidores de la vía de señalización de la proteína quinasa activada por RAS/mitógenos (tipifarnib y trametinib), la proteína de fusión recombinante de IL-3 y la toxina (tagraxofusp), anticuerpo monoclonal del factor estimulante de colonias antigranulocitos-macrófagos (lenzilumab) y un inhibidor del espliceosoma (H3B-8800). 

Dado que estos nuevos agentes todavía están limitados por su baja eficacia y toxicidad, su utilidad debe demostrarse a través de numerosos estudios antes de que puedan introducirse en la práctica clínica (2). 


Ilustración 9. Algoritmo de tratamiento propuesto para pacientes con LMMC. Abreviaturas: AlloSCT, trasplante alogénico de células madre; ESA, agente estimulante eritropoyético; HMA: agentes hipometilantes; WBC, glóbulo blanco (5). 



BIBLIOGRAFÍA 


1.- Fernando Ramos C, Guillermo Sanz C, Dra Beatriz Arrizabalaga C. Guías Españolas de SMD y LMMC. Edición 2020. [cited 2022 Mar 9]; Available from: https://www.gesmd.es/wp-content/uploads/2021/10/GuiaSMDLMMC2020.pdf 

2.- Kwon J. Diagnosis and treatment of chronic myelomonocytic leukemia. Blood research [Internet]. 2021 [cited 2022 Mar 9];56(Suppl 1):5. Available from: /pmc/articles/PMC8094002/ 

3.- Patnaik MM, Tefferi A. Chronic Myelomonocytic leukemia: 2020 update on diagnosis, risk stratification and management. American Journal of Hematology [Internet]. 2020 Jan 1 [cited 2022 Mar 9];95(1):97–115. 
Available from: https://onlinelibrary.wiley.com/doi/full/10.1002/ajh.25684 

4.- Geissler K. Molecular Pathogenesis of Chronic Myelomonocytic Leukemia and Potential Molecular Targets for Treatment Approaches. Frontiers in Oncology [Internet]. 2021 Sep 30 [cited 2022 Mar 11];11. Available from: /pmc/articles/PMC8514979/ 

5.- Tremblay D, Rippel N, Feld J, el Jamal SM, Mascarenhas J. Contemporary Risk Stratification and Treatment of Chronic Myelomonocytic Leukemia. The Oncologist [Internet]. 2021 May 1 [cited 2022 Mar 9];26(5):406. Available from: /pmc/articles/PMC8100553/

No hay comentarios:

Publicar un comentario

Se admiten comentarios que indiquen posibles errores en los textos y/o sugerencias de temas, y/o propuestas de mejoras en el blog y/o dudas sobre la realización de trabajos. Dado que este blog no es un consultorio médico, no se responderán preguntas realizadas con esa finalidad. Los comentarios que se consideren inapropiados, serán eliminados de inmediato, sin ningún tipo de excepción.

Nota: solo los miembros de este blog pueden publicar comentarios.